ПОДОЙДЁТ ЛИ МНЕ МЬЮИНГ?
Итак, частый вопрос: а подойдет ли мне этот ваш мьюинг? 😄
На это я всегда отвечаю: "А как кому-то может не подойти здоровая функция организма?"
Что, собственно, такое мьюинг в моем понимании?
Это:
✔️ физиологически единственно правильное положение языка, благодаря которому череп получает поддержку, и вся постура от шеи до стоп биомеханическим выстраивается в правильное положение.
✔️ Взрослый тип глотания, когда вся сила языка имеет правильный вектор, благотворно воздействующий на вышележащие структуры - небо, сошник, решётчатую кость, клиновидную и далее на все кости черепа и т.д.
✔️ Правильное носовое дыхание нижними ходами, обеспечивающее подвижность и нормальную работу как грудного отдела, так и диафрагмы.
О важности дыхания многое было писано в том числе и мной.
Для меня мьюинг это как один раз научиться ходить - просто здоровая функция для любого организма. Разве это может кому-то не подходить?
КОМУ НЕ БЕЗОПАСЕН МЬЮИНГ?
Пост больше для моих курсантов, но думаю, будет полезен всем, кто занимается мьюингом самостоятельно.
На курсе я ежедневно получаю от вас обратную связь, и, имея опыт общения уже более чем с тысячей человек, все сильнее убеждаюсь, что классический мьюинг (правильное положение языка и правильное глотание) - это однозначно подходит не всем, почему расскажу.
⠀
Многие сталкиваются с тем, что любая попытка разместить язык в правильное положение приводит к напряжению жевательных и мимических мышц, но что хуже всего - затылка.
⠀
⛔️ А где спазм жевательных - там портится овал и усугубляются носогубки
и брыли, а там, где спазм затылка вообще беда и со здоровьем и с эстетикой - веностаз, отеки, усугубление межбровный морщины, напряжение в шее и далее по нисходящей воздействие на весь позвоночник.
⠀
У кого же так происходит?
Является ли искривленная носовая перегородка причиной ротового дыхания и можно ли это исправить самостоятельно без операций?
Давайте разбираться.
Наблюдаю какую-то повальную моду на операции по выпрямлению носовой перегородки, и это пугает, т.к. на самом деле она - последнее, что влияет и то
в редких случаях значительного искривления.
Практика показывает, что идеально ровных перегородок почти не бывает, она так или иначе искривлена практически у всех.
Но в чем же причины затрудненного дыхания, если не в перегородке?
✔️ 1. Суженные дыхательные пути.
Ноги растут часто из детства - аденоиды, ротовое дыхание, калечащая ортодонтия приводят к вертикализации лицевого черепа.
Это то самое, что часто лечится обычным мьюингом. Челюсти выдвигаются вперед в более горизонтальное положение, просвет дыхательных путей увеличивается, и человек начинает нормально дышать носом.
Об этом мне постоянно пишут на курсе. При таком виде дисфункции нос плохо дышит практически всегда, либо днем дышит плохо, а ночью не дышит совсем:
в горизонтальном положении нижняя челюсть дополнительно смещается назад, перекрывая дыхательные пути.
✔️ 2. Нижние носовые раковины, большую часть которых составляют кавернозные (пещеристые) тела, которые могут то увеличиваться, затрудняя дыхание, то уменьшаться.
Здесь основной признак: нос то дышит то нет в течение дня, реагирует
на перепады температуры, алкоголь, аллергены. При этом помогают сосудосуживающие капли. Тут важно сделать КТ и посмотреть, насколько раковины действительно большие и принимать решение о хирургическом вмешательстве, чтобы уменьшить их в размере.
✔️ 3. Собственно перегородка. В карусели фото случая, когда перегородка действительно искривлена настолько, что блокирует половину носа и давит
на носовую раковину.
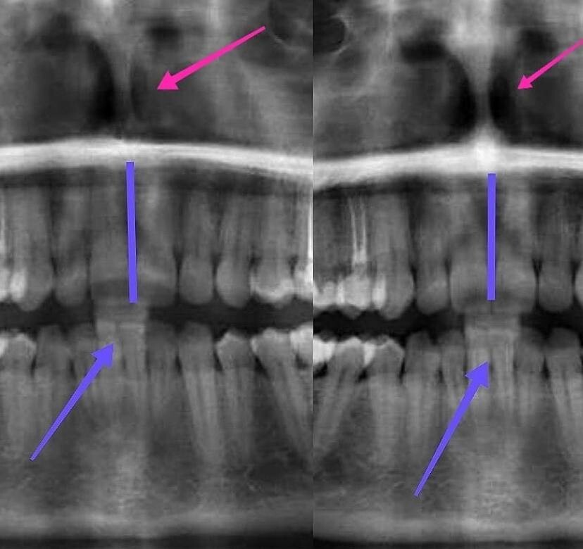
🎉 А теперь самое интересное: помимо постоянных откликов от моих курсантов об улучшении носового дыхания, у меня, наконец, появился снимок, где видно, что сама носовая перегородка от занятий стала ровнее, благодарю нашу девочку за предоставленное фото!)
Причем, смотрели на зубы (верхняя челюсть развернулась и встала на место центральная линия), а увидели еще и выравнившуюся перегородку!)
👇👇👇
Краниоформ: методика естественной гармонизации лица
9990 руб
Базовый курс
Как я испортила себе лицо: опасные приемы
900 руб
Предостережение для тех, кто стремится к совершенству
Гармония тела
6500 руб
Курс, посвященный работе с телом, поскольку не бывает молодого лица на увядшем теле.
Гармония лица
6500 руб
Курс - продолжение основного курса "Гармонизация", но здесь делается упор на работу с мягкими тканями лица.
Чьюинг
3900 руб
Представляем Вашему вниманию мини-курс от нашего Амира по развитию нижней трети лица методом чьюинга (chewing).
© Все права защищены законом об авторском праве. В случае обнаружения содержимого курса на других ресурсах согласно Федеральному закону «О внесении изменений в законодательные акты Российской Федерации по вопросам защиты интеллектуальных прав в информационно-телекоммуникационных сетях» от 2 июля 2013 года № 187-ФЗ ваш сайт или аккаунт в соцсетях будет заблокирован по требованию правообладателя без всякого предупреждения.
Результат может отличаться в каждом индивидуальном случае.
авторизуйтесь