
ПОДОЙДЁТ ЛИ МНЕ МЬЮИНГ?
Итак, частый вопрос: а подойдет ли мне этот ваш мьюинг? 😄
На это я всегда отвечаю: "А как кому-то может не подойти здоровая функция организма?"
Что, собственно, такое мьюинг в моем понимании?
Это:
✔️ физиологически единственно правильное положение языка, благодаря которому череп получает поддержку, и вся постура от шеи до стоп биомеханическим выстраивается в правильное положение.
✔️ Взрослый тип глотания, когда вся сила языка имеет правильный вектор, благотворно воздействующий на вышележащие структуры - небо, сошник, решётчатую кость, клиновидную и далее на все кости черепа и т.д.
✔️ Правильное носовое дыхание нижними ходами, обеспечивающее подвижность и нормальную работу как грудного отдела, так и диафрагмы.
О важности дыхания многое было писано в том числе и мной.
Для меня мьюинг это как один раз научиться ходить - просто здоровая функция для любого организма. Разве это может кому-то не подходить?

КОМУ НЕ БЕЗОПАСЕН МЬЮИНГ?
Пост больше для моих курсантов, но думаю, будет полезен всем, кто занимается мьюингом самостоятельно.
На курсе я ежедневно получаю от вас обратную связь, и, имея опыт общения уже более чем с тысячей человек, все сильнее убеждаюсь, что классический мьюинг (правильное положение языка и правильное глотание) - это однозначно подходит не всем, почему расскажу.
⠀
Многие сталкиваются с тем, что любая попытка разместить язык в правильное положение приводит к напряжению жевательных и мимических мышц, но что хуже всего - затылка.
⠀
⛔️ А где спазм жевательных - там портится овал и усугубляются носогубки
и брыли, а там, где спазм затылка вообще беда и со здоровьем и с эстетикой - веностаз, отеки, усугубление межбровный морщины, напряжение в шее и далее по нисходящей воздействие на весь позвоночник.
⠀
У кого же так происходит?
Заметила, что многие мои курсанты не понимают такой момент: почему при давлении на нёбо само это нёбо опускается, а максиллы при этом напротив выходят вперёд и поднимаются вверх, как так-то? И многие считают, что чтобы поднять максиллы - нужно поднять повыше нёбо).
Но все ровно наоборот. Попробую объяснить.
Итак, нёбо, зубной ряд и положение в пространстве костей верхней челюсти, максилл, - это три большие разницы.
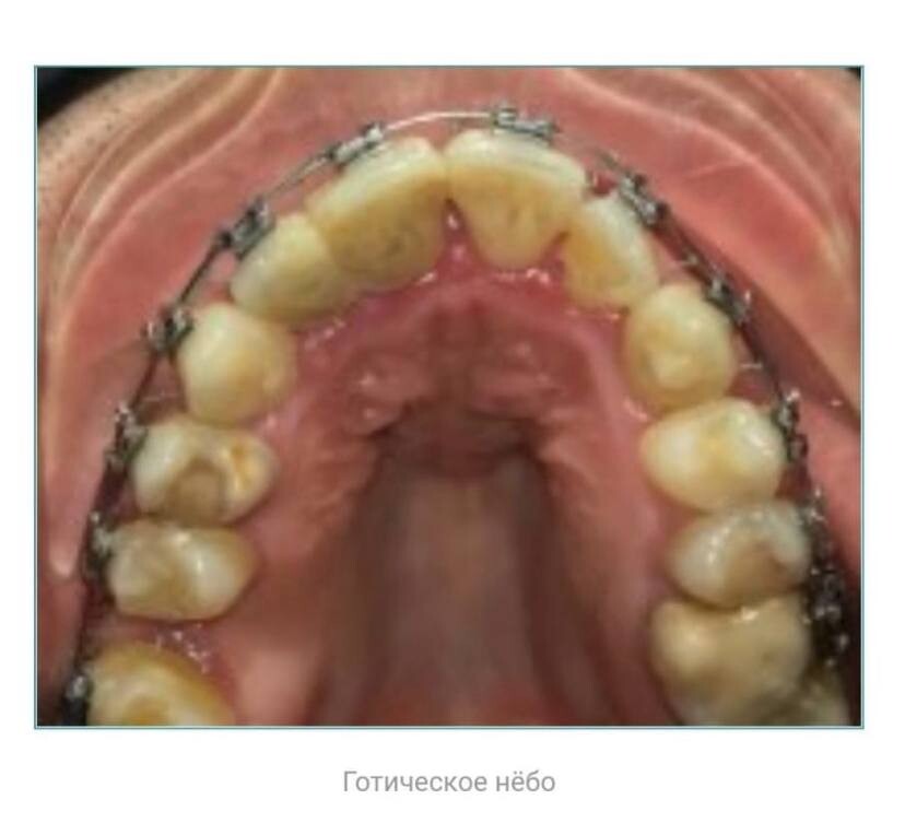
Ортодонты могут успешно расширять брекетами зубной ряд, чтобы зубам стало просторнее, но при этом небо остается готическим, а максиллы уходят вглубь
и вниз, лицевой череп сужается и вытягивается, лицо скелетизируется.
Потому что расширить зубной ряд это не то же самое, что расширить челюсть.
✅ Готическое нёбо (узкое и сводчатое) – это аномалия развития верхней челюсти, характеризующаяся высоким аркообразным сводом твердого неба. Высокий небный свод препятствует полноценному грудному вскармливанию ребенка, затрудняет носовое дыхание, вызывает нарушения звукопроизношения, может способствовать развитию аномалий зубных рядов, синдрома сонных апноэ. В настоящее время, в силу самых разных причин
от экологии до образа жизни такое небо, либо его вариации, встречается очень часто.
Представьте себе зонт - трость. Если его купол прикрыть - он выглядит узким и длинным🌂
Если же зонт раскрыть до конца ☂️ - его свод расширится, но станет коротким
и объемным. То же самое происходит с небом.
При правильном воздействии небо как бы опускается и расширяется, становится не таким глубоким и более пологим, каким и должно быть в норме.
Сама же кость верхней челюсти при этом меняет угол наклона и положение
в пространстве, выходя вперед и вверх корпусно, при этом также меняется
на более правильное положение всех смежных костей - скуловых, височных, решётчатой, клиновидной, затылочной и т.д, так как череп - это паззл.
При флексионном паттерне (чрезмерно широкое, округлое лицо) бывает
и другое отклонение (но встречается гораздо реже), когда нёбо, напротив, очень низкое и плоское. В этом случае мьюинг и остеопатическая самокоррекция точно так же помогает гармонизировать структуры.
👉 Листай 👇👇👇
Мьюинг: методика естественной гармонизации лица
6999 руб
Базовый курс
Как я испортила себе лицо: опасные приемы
800 руб
Предостережение для тех, кто стремится к совершенству
Гармония тела
4500 руб
Курс, посвященный работе с телом, поскольку не бывает молодого лица на увядшем теле.
Гармония лица
4500 руб
Курс - продолжение основного курса "Гармонизация", но здесь делается упор на работу с мягкими тканями лица.
Чьюинг
3500 руб
Представляем Вашему вниманию мини-курс от нашего Амира по развитию нижней трети лица методом чьюинга (chewing).
© Все права защищены законом об авторском праве. В случае обнаружения содержимого курса на других ресурсах согласно Федеральному закону «О внесении изменений в законодательные акты Российской Федерации по вопросам защиты интеллектуальных прав в информационно-телекоммуникационных сетях» от 2 июля 2013 года № 187-ФЗ ваш сайт или аккаунт в соцсетях будет заблокирован по требованию правообладателя без всякого предупреждения.
Результат может отличаться в каждом индивидуальном случае.
авторизуйтесь